10 Feb 2021
The nationwide first lockdown last year brought a lot of effects on the nation, from financial to healthcare. Oral health was one of the many things to suffer, especially for children. As the lockdown wore on and many parents had to juggle working from home with full-time child care, sugary treats became an increasingly common tactic to keep children quiet or entertained for a few precious minutes at a time – which we understand, as a lot of us are parents!
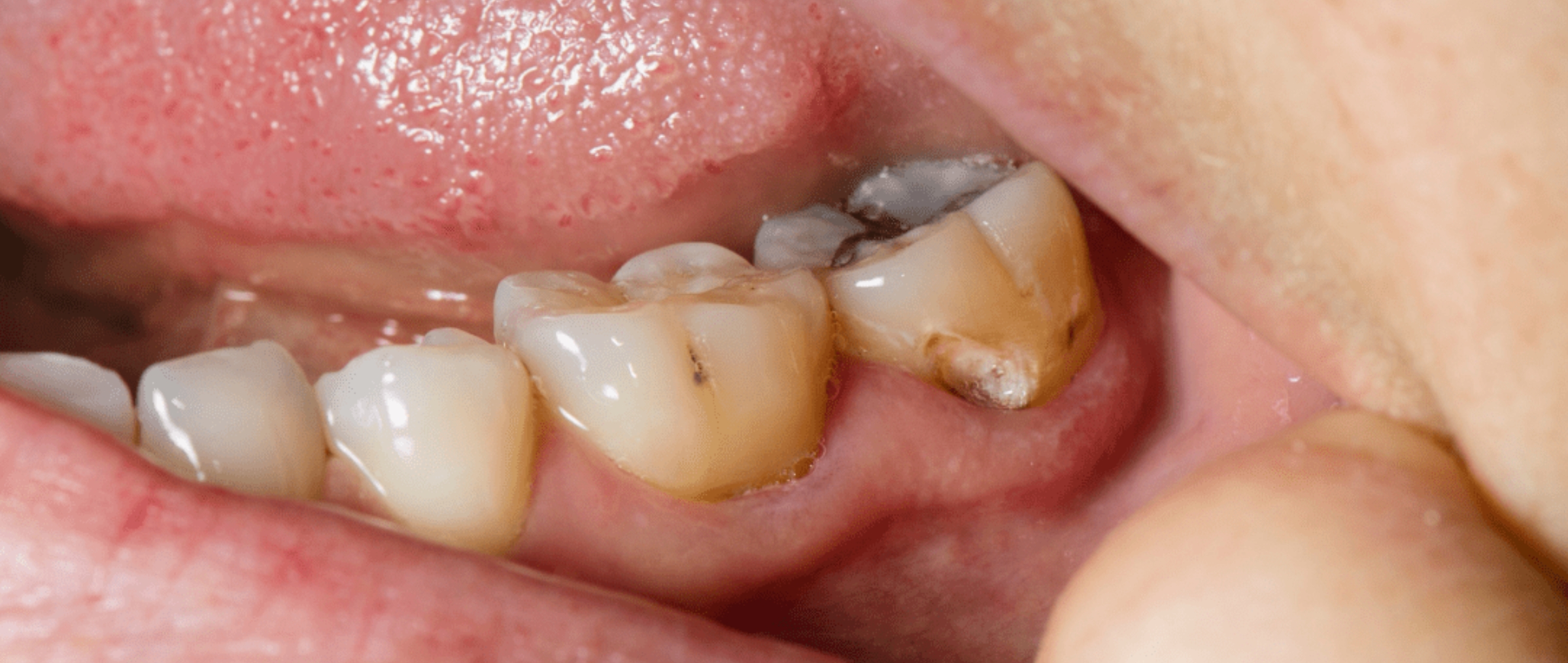
What’s more, since children and adults didn’t manage to get to dental surgeries during a lockdown, we’re now potentially looking at a wave of post-lockdown tooth decay. That becomes all the more significant in light of a recent article by dentistry.co.uk, which has explained that it remains the most common reason for hospital admissions in five to nine-year-olds.

A recent survey was carried out by the Association of Dental Groups, which represents practices across the UK. According to the results, about half of the parents said that their children had missed a check-up since March. The survey asked 2000 respondents, including 622 parents. 31% said that their family hadn’t made an appointment due to the lockdown, whereas 13% said that they’d tried, but limited availability meant that they hadn’t been able…
There are similar concerns around children’s oral health, as their enamel is much softer and thinner, and the ‘lockdown diets’ of so many of them over the spring and part of the summer this year have increased their risk of tooth decay.
We understand that appointments may still often be delayed for the time being, compared to how they were before lockdown. Although dental practices have been able to reopen since the 8th of June, we’re still subject to very strict cleaning protocols, which we obviously take very seriously here at Eye & Dental Clinic. That means that as we work to make the environment safe for each patient, we’re unfortunately able to see fewer patients than we used to.
Rest assured that we’re doing as much as we can to see as many patients as possible, and we’ve made sure that there are no extra charges for PPE or anything similar. We’ve also increased the hours of all our clinicians so that we can offer more appointments to our patients.
So until you’re able to book an appointment, really the best thing you can do is look after your oral health (and that of your family) as best you can, and try not to let it slide as we move into the winter months, where sugary treats and drinks become a lot more widespread! It’s worth bearing in mind that some type of tooth damage is reversible if it’s caught early enough, and can be improved with stringent oral hygiene habits, so I can’t stress the importance of it enough! Brushing regularly and doing what you can to limit your intake of sugary foods, sweets and drinks is your best bet, once you book an appointment.
Meanwhile, if you want to book an appointment or if you’ve got any questions about anything specific, our friendly team is always here to do what we can. We’re still taking care to offer a daily emergency service, so you can always trust us to be here for you if you need some urgent help. If you need some quick advice or you want to book an appointment for one of our other dentistry services, feel free to give us a call on 0161 222 5730!
Back to BlogDiscover how our advanced eye and dental treatments have helped patients see clearly, smile confidently, and live better with personalised care, comfort, and lasting results.
View More
Hemlata T
Had a deep clean today with Alla and Rachel, which was great, they were very gentle and even fixed a stubborn stain between my teeth, which they noticed during the...
Abs
Great service all around. Dr Uddin was knowledgeable, kind and put me at ease when having a chalazion removed. He helped me a lot with follow-up care for blepharitis, taking...
Amanda K
If I could give more than 5 stars for Mr J Uddin, I would. The reception staff were really polite and helpful. I had my chalazion removal surgery 2 months...
Nicole
Very satisfying. Dr J. Uddin removed a cyst on my upper lid. He explained everything to me before and during the procedure, and he has a very calming appearance. The...
Hemlata T
Had a deep clean today with Alla and Rachel, which was great, they were very gentle and even fixed a stubborn stain between my teeth, which they noticed during the...
Abs
Great service all around. Dr Uddin was knowledgeable, kind and put me at ease when having a chalazion removed. He helped me a lot with follow-up care for blepharitis, taking...
Amanda K
If I could give more than 5 stars for Mr J Uddin, I would. The reception staff were really polite and helpful. I had my chalazion removal surgery 2 months...
Nicole
Very satisfying. Dr J. Uddin removed a cyst on my upper lid. He explained everything to me before and during the procedure, and he has a very calming appearance. The...