Eye and Dental Clinic
google-reviews

0

5-star Google reviews

Treated-patients

0

Patients cared for

Combined-knowledge

0

Combined knowledge

google-reviews

0

5-star Google reviews

Treated-patients

0

Patients cared for

Combined-knowledge

0

Combined knowledge

Who we are

Dentist in Bury

Private dentistry, done properly

Dentistry designed around you.

Whether you’re here for a simple check-up or a complete smile transformation, we take the time to understand what matters to you, not just your teeth. We believe great dentistry should feel:

  • Calm, not clinical.
  • Honest, not sales-driven.
  • Clear, not confusing.

From your very first visit, you’ll know exactly where you stand, what your options are, and what the next step looks like — with no obligation.

  • 5★ Google rating — #1 rated dental clinic in Bury, Greater Manchester and Lancashire
  • 8,000+ patients cared for
  • Evening, weekend & same-day appointments available
  • Nervous and anxious patient friendly team
About Us right black line arrow right ibis white line arrow

Choose your care

Two areas of care. One commitment to your health.

Choose the care that’s right for you — eye care or dental solutions, our team is here to help.

Eyes

Teeth

Treatments

Precision treatments and beautifully confident results.

Our most popular treatments.

Cosmetic Dentistry
Cosmetic Dentistry

Smile Transformations

Composite bonding, veneers, whitening, and complete smile makeovers — carefully planned to enhance your natural features.

Teeth Straightening
Teeth-straightening

Teeth Straightening

Clear aligners including Invisalign® and other discreet options, tailored to your lifestyle and goals.

Teeth Whitening
Teeth Whitening

Teeth Whitening

Professional, custom-fit whitening for brighter, more even results — no gimmicks, no one-size-fits-all trays.

General Dentistry
General Dentistry

General and Preventative Dentistry

Exams, hygiene, airflow polishing, and ongoing care to keep your mouth healthy long-term.

Cosmetic Dentistry
Cosmetic Dentistry

Smile Transformations

Composite bonding, veneers, whitening, and complete smile makeovers — carefully planned to enhance your natural features.

Teeth Straightening
Teeth-straightening

Teeth Straightening

Clear aligners including Invisalign® and other discreet options, tailored to your lifestyle and goals.

Teeth Whitening
Teeth Whitening

Teeth Whitening

Professional, custom-fit whitening for brighter, more even results — no gimmicks, no one-size-fits-all trays.

General Dentistry
General Dentistry

General and Preventative Dentistry

Exams, hygiene, airflow polishing, and ongoing care to keep your mouth healthy long-term.

Explore our Treatments right black line arrow right ibis white line arrow

Finance

Clear pricing. Flexible payment options

We believe cost should never be a barrier to feeling confident about your smile

That’s why we offer:
  • Transparent pricing with no hidden fees.
  • 0% interest payment plans on selected treatments.
  • Monthly options from as little as £9 per month.

Your full treatment plan and costs are always explained clearly before you decide — no pressure, ever.

View fees & finance options right black line arrow right ibis white line arrow Book Consultation right black line arrow right ibis white line arrow Digital Consultation right black line arrow right ibis white line arrow
Finance

Why choose us

Experience exceptional care, every time

Comprehensive-care-under-one-roof

Comprehensive care under one roof

Offering minor eye-care treatments and full general + cosmetic dentistry, as well as emergency dental care.

High-quality-reputation

High quality reputation

The clinic has a 5-star rating and positive testimonials, emphasising comfort, clarity, and friendly staff.

Award-winning-clinic

Award-winning clinic

Our dedication to quality, safety, and patient satisfaction has earned us recognition across the industry.

Gentle-and-nervous-patient-speciality-clinic

Gentle, nervous and anxious patient speciality clinic

We provide gentle, compassionate care to make nervous and anxious patients feel comfortable and at ease.

Book Consultation right black line arrow right ibis white line arrow Digital Consultation right black line arrow right ibis white line arrow
Eye and Dental Clinic

Your journey

Your journey starts with a free smile consultation.

Your consultation is relaxed, informal, and completely pressure-free.

You’ll receive:
  • A friendly welcome from our team.
  • Time to talk about what you’d like to change (or understand).
  • Honest advice on suitable treatment options.
  • A clear plan and transparent costs.

No commitment. No obligation. Just clarity.

Your consultation is relaxed, informal, and completely pressure-free.

You’ll receive:
  • A friendly welcome from our team.
  • Time to talk about what you’d like to change (or understand).
  • Honest advice on suitable treatment options.
  • A clear plan and transparent costs.

No commitment. No obligation. Just clarity.

Book Consultation right black line arrow right ibis white line arrow Digital Consultation right black line arrow right ibis white line arrow

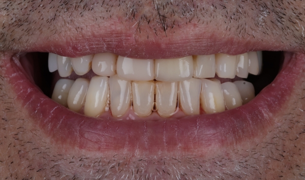
Transformations

Results that speak for themselves.

Real people. Real results.

We don’t use stock photos or exaggerated claims.

Every smile you see is from a real patient treated here at Eye & Dental Clinic.

Browse genuine before-and-after cases and see what’s possible when treatment is planned properly.

Select results

  • Teeth

Smile Makeover - Case 1

Before

After

Smile Makeover - Case 2

Before

After

Our benefits

Why you’ll love visiting us

From gentle treatments to trusted advice, we make every visit easy, comfortable, and tailored to you and your family.

Gentle-care-seamless-experience

Gentle care, seamless experience

As a family-owned practice, we make visits easy and comfortable for you and your loved ones.

Personalised-treatment-plans

Personalised treatment plans

Every patient is unique — we tailor your care to your needs, goals, and lifestyle for the best long-term outcomes.

Skilled-professionals-trusted-results

Skilled professionals, trusted results

Our experienced clinicians combine skill, technology, and genuine care to deliver results you can rely on.

Innovation-with-a-human-touch

Innovation with a human touch

Combining modern technology with a personal touch to achieve healthy, natural-looking outcomes you’ll love.

Modern technology

Modern technology, designed around you

We combine advanced dental technology with clinical experience to deliver faster, more accurate and more comfortable care. From digital diagnostics to precision-led treatments, every stage of your journey is enhanced by innovation—helping us detect issues earlier, plan treatments more effectively and achieve outstanding results.

Our investment in modern systems allows for highly detailed imaging, minimally invasive procedures and streamlined appointments, so you spend less time in the chair and more time enjoying your smile. Digital workflows also mean improved communication, allowing you to clearly understand your treatment options and feel confident in every decision.

By embracing the latest developments in dentistry, we’re able to provide care that is not only efficient, but tailored entirely to you—ensuring predictable outcomes, greater comfort and a truly modern patient experience.

Our technology detects problems early and delivers faster, more comfortable care.

Testimonials

Voices of our happy patients

Discover how our advanced eye and dental treatments have helped patients see clearly, smile confidently, and live better with personalised care, comfort, and lasting results.

View More right black line arrow right ibis white line arrow
Category: Teeth
Category: Teeth
Category: Teeth
Category: Teeth
Category: Teeth
Category: Teeth
Category: Teeth
Category: Teeth
Category: Teeth
Category: Teeth
Category: Teeth
Category: Teeth
Category: Teeth
Category: Teeth
Category: Teeth
Category: Teeth
Category: Teeth
Category: Teeth
Category: Teeth
Category: Eye
Category: Teeth
Category: Teeth
Category: Teeth
Category: Teeth
Category: Teeth
Category: Teeth
Category: Teeth
Category: Teeth
Category: Teeth
Category: Teeth
Category: Teeth
Category: Teeth
Category: Teeth
Category: Teeth
Category: Teeth
Category: Teeth
Category: Teeth
Category: Teeth
Category: Teeth
Category: Eye
Eye and Dental Clinic

Hemlata T

Had a deep clean today with Alla and Rachel, which was great, they were very gentle and even fixed a stubborn stain between my teeth, which they noticed during the...

star gold plain icon
Eye and Dental Clinic

Abs

Great service all around. Dr Uddin was knowledgeable, kind and put me at ease when having a chalazion removed. He helped me a lot with follow-up care for blepharitis, taking...

star gold plain icon
Eye and Dental Clinic

Amanda K

If I could give more than 5 stars for Mr J Uddin, I would. The reception staff were really polite and helpful. I had my chalazion removal surgery 2 months...

star gold plain icon
Eye and Dental Clinic

Nicole

Very satisfying. Dr J. Uddin removed a cyst on my upper lid. He explained everything to me before and during the procedure, and he has a very calming appearance. The...

star gold plain icon
Eye and Dental Clinic

Hemlata T

Had a deep clean today with Alla and Rachel, which was great, they were very gentle and even fixed a stubborn stain between my teeth, which they noticed during the...

star gold plain icon
Eye and Dental Clinic

Abs

Great service all around. Dr Uddin was knowledgeable, kind and put me at ease when having a chalazion removed. He helped me a lot with follow-up care for blepharitis, taking...

star gold plain icon
Eye and Dental Clinic

Amanda K

If I could give more than 5 stars for Mr J Uddin, I would. The reception staff were really polite and helpful. I had my chalazion removal surgery 2 months...

star gold plain icon
Eye and Dental Clinic

Nicole

Very satisfying. Dr J. Uddin removed a cyst on my upper lid. He explained everything to me before and during the procedure, and he has a very calming appearance. The...

star gold plain icon

Our clinicians

The people behind your care

Nervous about the dentist? You’re not alone.

Many of our patients come to us feeling anxious, embarrassed, or unsure after avoiding dental care for years. You’ll never be judged here.

Our team is experienced in supporting nervous and anxious patients, moving at your pace, and explaining everything in plain English — so you always feel safe, respected, and in control

Dr Imran Uddin

Principal Dentist | CEO

Dr Mathew Wilkinson

Restorative Dentist

Dr Qasim Ali

Cosmetic Dentist

Georgia McNally

Lead Nurse

Rachel Lowe

Dental Nurse

Jawahir Uddin

Advanced Nurse Practitioner

Niamh Royle

Dental Therapist

Dr Imran Uddin

Principal Dentist | CEO

Dr Mathew Wilkinson

Restorative Dentist

Dr Qasim Ali

Cosmetic Dentist

Georgia McNally

Lead Nurse

Rachel Lowe

Dental Nurse

Jawahir Uddin

Advanced Nurse Practitioner

Niamh Royle

Dental Therapist
Meet the Team right black line arrow right ibis white line arrow

Contact us

Get in touch

Google Rating
5.0
Google Rating
Google-review