30 Aug 2024
Dentures are a great help for certain dental issues, but they’re not always suitable. Let’s take a look at whether they can be fitted to receding gums.

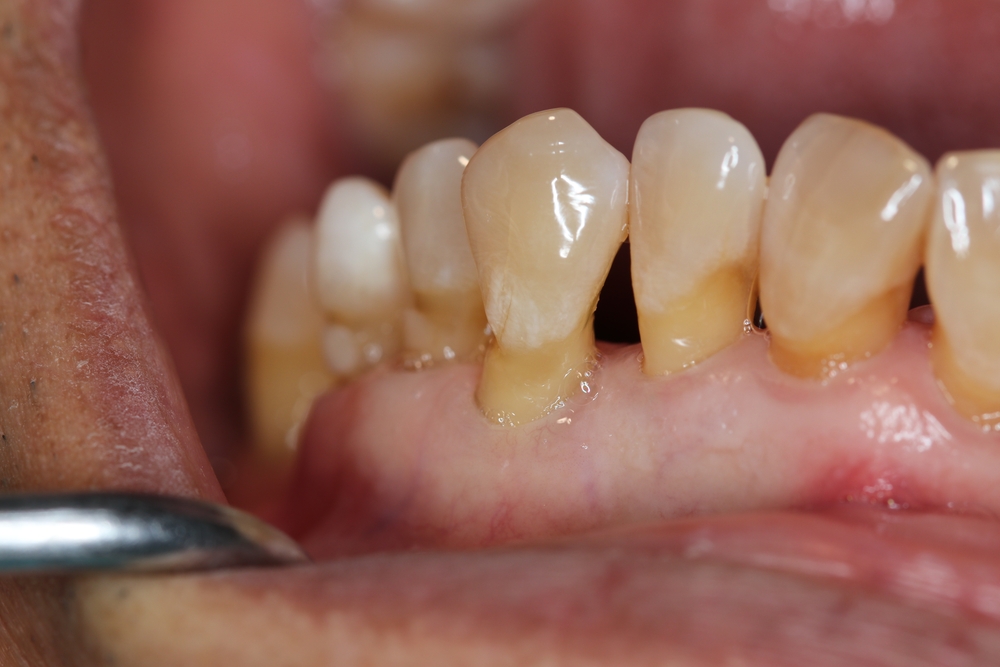
Receding gums occur when the gum tissue surrounding the teeth withdraws, which exposes more of the tooth or its root. This condition can be caused by several factors, including:
When you don’t take good care of your teeth and gums, tartar can build up, irritating the gums and causing them to recede. Equally, brushing your teeth too hard, or with a hard-bristle brush, can wear away the gum tissue, causing receding gums as well.
Sometimes a bacterial infection, often caused by poor oral hygiene, can damage the gum tissue and supporting bone, known as periodontal disease, which can also cause the gum tissue to recede. However, if you have receding gums and take good care of your oral hygiene, it may simply be down to genetics, or hormonal changes such as puberty, pregnancy or menopause.
Smoking is also a common cause of gum disease, so it should be avoided if your gums are receding.
If you have an issue with your teeth, such as misalignment or you grind your teeth in your sleep, you should seek advice from a dentist, as they can provide tools and advice to help prevent these issues from worsening.
Receding gums are generally not considered a medical emergency, but they should not be ignored. If left untreated, they can lead to tooth sensitivity, decay, or even tooth loss. However, if gum recession is accompanied by severe pain, bleeding, or signs of infection, immediate dental attention is required, as these could indicate an underlying condition that needs urgent care.
For emergency dental care in the UK, you can visit an NHS dentist who offers urgent care services, or contact a private practice that provides emergency dental treatments, as these may have more conveniently available appointment times. If you’re not registered with a dentist or need immediate assistance, call NHS 111, which will direct you to the nearest available emergency dental service.
It’s crucial to seek care promptly if you experience severe pain, swelling, or other urgent symptoms.

Receding gums can be treated, but the approach depends on the severity and underlying cause of the condition. While gums don’t naturally grow back once they have receded, certain treatments can stop further recession, protect the teeth, and improve the appearance and health of the gums.
Dentists can help treat your receding gums by performing several different procedures, including:
Deep cleaning, also known as scaling and root planing, is a non-surgical procedure that involves removing plaque and tartar from below the gum line and smoothing the tooth roots to help the gums reattach to the teeth. This is effective in mild cases of gum recession caused by plaque buildup or mild gum disease. This is a common treatment for receding gums and can be very effective when paired with improved oral hygiene practices.
For more advanced cases, periodontists (specialists in gum disease) may perform gum graft surgery. This involves taking gum tissue from another part of the mouth (usually the palate) or using donor tissue to cover the exposed roots. This can help restore a natural gum line and protect the teeth from further damage.
Dentists can also apply a slow-release antibacterial gel, antibiotics, or antimicrobial mouth rinses to control bacterial growth and reduce inflammation, preventing receding gums from worsening.
Misaligned teeth that contribute to gum recession might be corrected with braces or other orthodontic treatments when other treatments are ineffective.
While gums do not regenerate or grow back on their own, these treatments can significantly improve gum health, stop further recession, and reduce tooth sensitivity. If you notice signs of receding gums, it’s essential to consult a dentist early to explore the most effective treatment options.

Dentures can be fitted to receding gums, but there are specific challenges to consider.
Receding gums can lead to a loss of the supportive bone structure that helps hold dentures in place, making it difficult to achieve a secure and comfortable fit. As the gums recede, they become more sensitive, and wearing dentures can cause discomfort, irritation, or even sores. Additionally, exposed tooth roots due to gum recession may lead to increased sensitivity or risk of tooth decay, which can further complicate denture fitting.
However, dentists can overcome these difficulties with a few techniques.
A dentist or prosthodontist can design custom dentures tailored to fit the unique shape of receding gums, improving comfort and stability. They can also add a cushioning material, known as a soft liner, to the dentures to provide a more comfortable fit and reduce irritation.
Dental implants can also be fitted where necessary to support dentures and provide a stable and secure fit, even with receding gums, by anchoring directly to the jawbone.
Addressing these challenges with proper care and consultation can make dentures a viable solution for those with receding gums, while routine check-ups and adjustments can help ensure dentures remain comfortable and functional despite changes in the gum line.
Veneers, another option for replacing damaged teeth, can also be fitted to receding gums, but there are still important considerations to keep in mind. Veneers are thin shells of porcelain or composite resin placed on the front surface of teeth to improve their appearance. While they can effectively enhance the aesthetics of teeth affected by gum recession, certain challenges must be addressed.
Receding gums can expose the tooth roots, which veneers do not cover. This may leave areas still susceptible to sensitivity and decay, and may not be aesthetically pleasing. Veneers should only be applied if the gums are healthy. Inflamed or infected gums need to be treated first to ensure a stable foundation for veneers, so if you have gum disease causing your gums to recede, this will need to be addressed first by your dentist.
However, a skilled cosmetic dentist can customise veneers to better match the new gum line and minimise gaps. Plus, maintaining good oral hygiene and regular check-ups can help ensure the success of veneers with receding gums.

Preventing gum recession and managing it at home involves maintaining good oral hygiene practices and making lifestyle adjustments to support gum health.
Effective preventative measures include:
Using a soft-bristled toothbrush and brushing gently in circular motions avoids damaging gum tissue. Avoid hard-bristled brushes and aggressive brushing techniques that can wear away the gums. Flossing removes plaque and food particles from between the teeth and along the gum line, reducing the risk of gum disease and recession, as these foods rotting and feeding bacteria are the major causes of gum disease and gum recession.
Regular visits to the dentist for professional cleanings and early detection of gum issues can prevent the recession from worsening. Dentists and dental hygienists can also advise on where your oral hygiene can be improved to help you help yourself.
Antimicrobial or fluoride mouthwashes can help reduce plaque buildup and strengthen the teeth, supporting overall gum health, by removing bacteria from other areas of the mouth, such as the tongue and other soft tissue that is missed when brushing.
Tobacco and other types of smoking (vapes, pipes and cannabis) increase the risk of gum disease, which can lead to gum recession, so they should be avoided.
Some other ways you can help treat receding gums include improving your diet, reducing sugars and increasing vitamins C and D, as well as antioxidants, which can improve gum health. Managing stress can also help stop you from grinding your teeth or clenching your jaw, both of which can cause dental damage and worsen gum recession.
While these steps can help prevent further recession and improve gum health, severe cases require professional treatment from a dentist or periodontist for the best outcomes.
Luckily, the Eye and Dental Clinic is here to help you with gum recession and fit your dentures!
Back to BlogDiscover how our advanced eye and dental treatments have helped patients see clearly, smile confidently, and live better with personalised care, comfort, and lasting results.
View More
Hemlata T
Had a deep clean today with Alla and Rachel, which was great, they were very gentle and even fixed a stubborn stain between my teeth, which they noticed during the...
Abs
Great service all around. Dr Uddin was knowledgeable, kind and put me at ease when having a chalazion removed. He helped me a lot with follow-up care for blepharitis, taking...
Amanda K
If I could give more than 5 stars for Mr J Uddin, I would. The reception staff were really polite and helpful. I had my chalazion removal surgery 2 months...
Nicole
Very satisfying. Dr J. Uddin removed a cyst on my upper lid. He explained everything to me before and during the procedure, and he has a very calming appearance. The...
Hemlata T
Had a deep clean today with Alla and Rachel, which was great, they were very gentle and even fixed a stubborn stain between my teeth, which they noticed during the...
Abs
Great service all around. Dr Uddin was knowledgeable, kind and put me at ease when having a chalazion removed. He helped me a lot with follow-up care for blepharitis, taking...
Amanda K
If I could give more than 5 stars for Mr J Uddin, I would. The reception staff were really polite and helpful. I had my chalazion removal surgery 2 months...
Nicole
Very satisfying. Dr J. Uddin removed a cyst on my upper lid. He explained everything to me before and during the procedure, and he has a very calming appearance. The...