
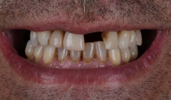
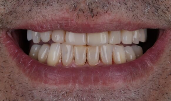
Do you have a chipped tooth or space between your front teeth that is giving you so much worry? Well, getting composite bonding may be the solution you need to restore your smile.
Composite bonding is a cosmetic dental procedure where a composite resin material, having the colour of a tooth, is applied to your teeth to repair damage and improve your smile and confidence! It is a cost-effective solution that improves the appearance of broken, chipped, stained, or cracked teeth.
Fast and effective
Experience fast and effective composite bonding at our dental clinic. Fix minor cosmetic issues in one visit. The composite is hardened instantly with a curing light, ensuring a comfortable bite by the end of your appointment. Enhance your smile today!
Non-invasive
Discover the non-invasive benefits of bonding. Unlike crowns and veneers, our composite bonding preserves your tooth’s structure. Only the tooth’s surface is roughened for resin bonding, ensuring the integrity of your natural teeth. Embrace this gentle procedure today!
Transform the smile
Revamp your smile naturally with composite bonding – using tooth-coloured resin, it matches your teeth’s shade for a dazzling, appealing smile. Opt for cosmetic bonding, the top choice to fix dental flaws: decay, cracks, chips, stains, gaps, and more.
Safe and secure
Opt for utterly secure composite bonding, devoid of detrimental compounds that may harm your mouth, teeth, or well-being. Minimal teeth preparation ensures hassle-free removal, allowing changes without harming your teeth. Choose safety with composite bonding.
Long lasting
With consistent care and regular check-ups, composite bonding could last a long time. Maintain your radiant smile by brushing, dental visits, and avoiding hard foods that can chip your bonded teeth.
Affordable and cost-effective
Experience budget-friendly composite bonding at Eye & Dental Clinic in Bury. Achieve your ideal smile without overspending. High-quality, affordable treatments await. Book now for cost-effective dental transformations.
For optimal cosmetic results, composite bonding does require some artistic skill. That is why the Eye & Dental Clinic is your best choice when you are considering having composite bonding for your teeth.
We have professional dentists who are highly experienced in cosmetic dentistry and have treated more than hundreds of patients in the last few months. Don’t let anything hold you back from achieving your dream smile. Let us get you there faster than you can imagine.
Discover how our advanced eye and dental treatments have helped patients see clearly, smile confidently, and live better with personalised care, comfort, and lasting results.
View More
Hemlata T
Had a deep clean today with Alla and Rachel, which was great, they were very gentle and even fixed a stubborn stain between my teeth, which they noticed during the treatment! They supported me through the whole process and talked me through everything they were doing, which was extremely reassuring! Teeth are looking and feeling better than ever. Would definitely recommend!
Abs
Great service all around. Dr Uddin was knowledgeable, kind and put me at ease when having a chalazion removed. He helped me a lot with follow-up care for blepharitis, taking the time to show me how to clean my eyes properly. Michelle at the reception was also very friendly and helpful. Thank you again!
Amanda K
If I could give more than 5 stars for Mr J Uddin, I would. The reception staff were really polite and helpful. I had my chalazion removal surgery 2 months ago, and I was really worried and scared about the whole procedure since it involved a delicate area. Mr J Uddin is a very experienced ophthalmologist, and if you need to have the same surgery as I did, you’ll be in safe hands. It’s really good to see hcp’s going above and beyond for their patients. I really valued the knowledge that he shared with me, and I learnt a lot about my condition. I was actually meant to go to a different clinic before, but I’m so glad I found out about this clinic. I really hope I won’t need another chalazion removal surgery in my lifetime again, but if I ever did, I would 100% come back to this clinic.
Nicole
Very satisfying. Dr J. Uddin removed a cyst on my upper lid. He explained everything to me before and during the procedure, and he has a very calming appearance. The cyst removal was successful ,and it healed so well that you can’t see a mark/scar at all. Thank you so much!
Christine C
I had a great experience here over multiple appointments. I was very nervous beforehand, but Imran (my dentist) helped me stay calm during each visit and explained everything clearly, which really put me at ease. Georgia and Matthew at reception were really friendly and welcoming, and the dental nurses were also lovely — everyone I interacted with across all visits was kind and professional.
All of my appointments went smoothly, and I’m really happy with the end result. I’d definitely recommend them to anyone looking for a caring and reassuring dental team!
Chelsea W
I had a Chalazion removal with Mr Uddin. Fantastic results two months down the line, you’d never know I had it, and he made me feel so relaxed and at ease during the procedure, which was relatively pain-free! Thank you so much!
Becky P
I’ve never been a fan of the dentist, but Imran and all the team have always been professional, friendly and approachable. I’m now no longer scared of going to the dentist as I trust the helpful advice, care, after care they have given me, and nothing is too much trouble. I have since recommended Eye & Dental Clinic to my friends and family, and they, too, have had a great experience. I wouldn’t trust anyone else to look after my dental needs.
Tim R
Can’t thank Imran and the team enough. From the first meeting to the day getting my bonding done has been fantastic. Everything has been really well explained and clear throughout each step. On the day Imran stayed till well after closing to get my teeth how I wanted, which was greatly appreciated. Absolutely thrilled and would recommend to anyone.
Fiona C
I visited the clinic as my friend recommended Dr Imran. I was very impressed by the welcome I received and the assessment before I saw the dentist. Dr Imran spent a lot of time explaining my condition and advising on the best treatment options. I felt very comfortable, relaxed and reassured after my first visit.
Zain Y
Booked my checkup during the black Friday sale. Check up with the dentist was great. Had a follow-up appointment for a scale and polish procedure, which was conducted by Arla and Rachel, and was 10/10.
We provide evening, weekend, and same-day appointments for your convenience.